Rapport från LUFT 2025
Lyckade dagar när LUFT konferensen gick av stapeln i Uppsala 3-4 september
Läs vidare
https://tobaksfakta.se/lufthistorien-ger-hopp-for-framtiden/
Pressmeddelande från Sahlgrenska

Pressmeddelande från Sahlgrenska akademin vid Göteborgs universitet 2025-03-24
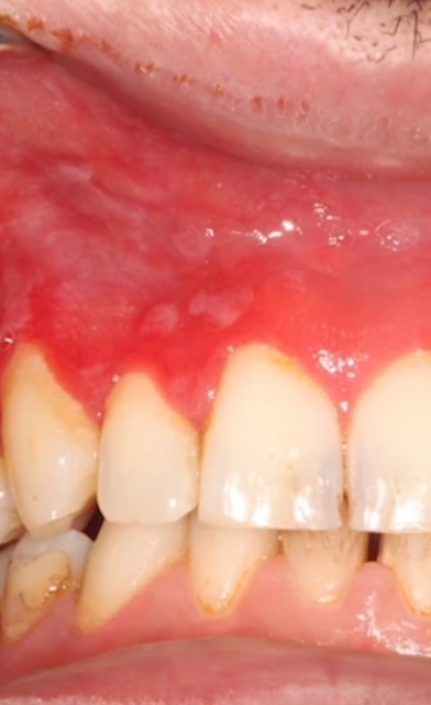
Långvariga inflammationer väcker frågor om vitt snus
Svidande inflammationer som tar månader eller år att läka – så kan det se det ut i munnen efter användning av vitt snus. Nu ska forskare inom munhälsa vid Göteborgs universitet göra ett djupdyk i effekterna av det populära vita snuset.
Upprinnelsen till studien som nu inleds är de patientfall som börjat dyka upp inom universitetstandvården efter remiss från olika tandvårdskliniker. Patienterna har skador i tandköttet som inte alls liknar dem hos användare av traditionellt brunt tobakssnus.
Samtidigt noteras höga användarsiffror för vitt snus bland unga. Enligt hittills opublicerade data från senaste nationella SOM-undersökningen vid Göteborgs universitet uppger 25 procent i åldrarna 16–29 år att de regelbundet använder vitt snus. Hos gruppen kvinnor 16–29 år är andelen 27 procent.
Större oro för vitt snus
Vid användning av brunt snus blir slemhinnan oftast veckad och får en vit förtjockning där prillan läggs in. En del användare av vitt snus har i stället smärtsamma och tydligt rödfärgade förändringar i tandköttet. Hos vissa uppstår även sår där det vita snuset läggs mot slemhinnan.
– Vi är mer oroliga för de här förändringarna. De ser helt annorlunda ut, med rodnad och uttunnad slemhinna. Vävnadsprover har visat på kraftig inflammation och vi rekommenderar omedelbart snus stopp när man har besvär eller ser förändringar, säger Gita Gale, disputerad specialisttandläkare och en av forskarna bakom studien.
Förändringarna vid användning av vitt snus tycks också vara mer svårläkta. Hos användare av brunt snus återställs tandköttet oftast på några veckor efter ett snus stopp. Skadorna efter vitt snus har visat sig kunna bestå i många månader, till och med uppemot något år.
Förändringar och riskfaktorer
I dagsläget är forskningen kring vitt snus begränsad. Den nu påbörjade studien finansieras tills vidare med oberoende forskningsmedel och kommer inte att ta in externa finansiärer med koppling till tobaksprodukter eller vitt snus.
Studiens rekryteringsbas är Västra Götaland via specialiserade tandvårdskliniker på olika sjukhus i regionen. Hittills har ett 40-tal patienter rekryterats till studien, alla med förändringar i munnen efter användning av vitt snus.
Forskarna kommer att undersöka vilka olika typer av slemhinneförändringar som vitt snus kan orsaka och vilka riskfaktorerna är. De ska också studera svårighetsgraden på inflammationer och vävnadsförändringar.
Resultaten kommer att jämföras med tillgängliga data för brunt portionssnus. Studien ska också inkludera en kontrollgrupp av icke snusare med frisk munslemhinna där biopsier ska tas i munnen där snusare normalt lägger sitt snus.
Utbrett bruk – knappa kunskaper
Studien ska pågå i åtminstone fem år och även inkludera studiedeltagare successivt. En viktig drivkraft är just det faktum att användningen av vitt snus är så omfattande hos unga och även i gruppen kvinnor.
– Bruket av vitt snus bland framför allt ungdomar är skrämmande stort med tanke på hur lite vi vet om konsekvenserna av användandet på lång sikt, säger Gita Gale.
Gita Gale är disputerad övertandläkare inom orofacial medicin och verksam som universitetslektor i oral medicin vid Göteborgs universitet. Hon leder forskningsstudien tillsammans med oral patolog Jenny Öhman, docent och universitetslektor i oral patologi på Göteborgs universitet.
Nya fakta om det vita snuset

Niclas Malmberg, vetenskapsjournalist, har genom VISIR publicerat en utmärkt sammanställning om det vita snuset. En produkt vars effekter och skador börjar framträda alltmer tydligt.
Nya direktiv från socialstyrelsen

Fler ska få hjälp att sluta snusa och bli fria från nikotinberoende. Tandvården får en stärkt roll i att stötta patienter.
Tackla tobak i tandvården

Välkommen att anmäla dig till 2025 års viktigaste eftermiddag.
Tackla Tobak och Nikotin i Tandvården den 3 april 2025 / 13:00-15:30 – nationell yrkeskonferens
För: Tandvårdspersonal alla kategorier samt politiker och beslutsfattare inom tandvård, hälsovård och sjukvård. Konferensen belyser tandvårdens viktiga roll i nikotin- och tobaksfrågan.
Tid: torsdag 3 april 2025 kl. 13.00-15.30
Plats: Digitalt via zoom
Via Länk: Meddela vid anmälan till kansliet, så skickas en länk.
Anmälan: info@ymtkansli.org senast 1 april.
Program:
Lena Sjöberg, leg tandläkare, ordförande Tandvård mot Tobak, hälsar välkommen
Våra yrkesförbund har ordet.
Tandvården en mycket viktig och delvis underutnyttjad resurs i folkhälsoarbetet. Inte minst när det gäller nikotin- och tobaksprevention. Både primärprevention – skydda barn och unga – och sekundärprevention – erbjud avvänjning. Med rätta förutsättningar, dvs tydligt uppdrag och god finansiering har vi alla möjligheter!
Chaim Zlotnik Ordförande Sveriges Tandläkarförbund
Fouzieh Eliassy Ordförande Sveriges Tandhygienistförening
Tina Hilding Ordförande Svenska Tandsköterskeförbundet
Niklas Malmberg, Journalist med fokus på miljö och hälsofrågor. Nyskriven forskningssammanställning om Vitt Snus.
Masoumeh Daneshiyan, leg tandläkare, forskare, Ftv Stockholm, Karolinska Institutet
Ny forskning: Hur påverkas munslemhinnan av vitt respektive brunt snus?
Mariana Näslund Blix Chief Dental Officer, Socialstyrelsen
Berättar om deltagandet i WHO:s första Global Oral Health Meeting,
Johanna Reuterving Smajic, leg. tandhygienist, ledamot Tandvård mot Tobak:
Hur ser reklamen ut? Hur påverkas våra patienter? Vad kan vi göra?
Avslutning
Vi förbehåller oss rätten att avvisa personer med kopplingar till nikotin-och tobaksindustrin.
Podd om riskerna med det vita snuset

Louise Adermark, forskare inom beroendemedicin vid Göteborgs universitet och expert på nikotin medverkar i Akademilivs podd och pratar om riskerna med det vita snuset. som spelas in av Sahlgrenska akademin, den medicinska fakulteten vid Göteborgs universitet. Samtalet handlar om vad man vet och inte vet om riskerna med det vita snuset.
Bli fri från Nikotinberoende

Tobaksavvänjning med sjuksköterskor och tandhygienister.
I region Östergötland samarbetar tandvård och hälso-och sjukvård inom tobaksavvänjning. Det finns mottagningar med legitimerade tandhygienister och sjuksköterskor, och inom både tandvård och hälso- och sjukvård finns utbildade tobaks avvänjare.
Forskare ogillar ”det svenska förhållningssättet” till snus

Med tanke på den evidens som finns om skaderisker av snus är det beklagligt att svenska politiker har en så slapphänt inställning till det vita snuset. Det tycker Jan Hirsch, käkkirurg och professor.
– Jag önskar att Sverige utgick ifrån försiktighetsprincipen eftersom vi ännu inte vet skadepanoramat av den här nya produkten.
Jan Hirsch har själv snusat. Han började när han gick sin specialistutbildning på kirurgen.
– Då fick man inte röka på operationsrummen. Därför snusade någon erfaren kirurg och då gjorde jag det också.
Han höll fast i snuset i fyra år. Varför han slutade återkommer vi till senare i artikeln. Hans erfarenhet av snus utifrån professionellt perspektiv är betydligt längre än hans fyra år som snusare. I över 50 år har Jan Hirsch arbetat med munhälsa, bland annat som kirurg. Han har varit chef på käkkirurgin på Akademiska sjukhuset i Uppsala och professor på medicinska fakulteten institutionen för för kirurgiska vetenskaper. Sedan tio år ägnar han sig helt åt forskning på forsknings, – utvecklings- och undervisningsavdelningen Folktandvården Region Stockholm. Och att det finns tydlig evidens för att snus har negativa effekter på hälsan råder det inget tvivel om, enligt Jan Hirsch. Han nämner bland annat lokala effekter på munslemhinnan och tandköttet, implantatförluster, ökad kariesrisk och munhålecancer samt generella effekter, för tidig födsel hos snusande gravida, plötslig spädbarrnsdöd och sämre immunförsvar.
– Forskning från Göteborgs Universitet visar också att nikotin inte bara är starkt beroendeframkallande, utan även kan orsaka bestående förändringar i hjärnans nervceller som styr beteende och känslor. Annan forskning från Karolinska institutet visar att nikotin kan ge ökad kärlstyvhet som kopplas samman med en ökad risk för stroke och hjärtinfarkt.
Samma strategier för olika produkter
Problemet, menar han, är att tobaksindustrin använder samma strategier som för cigaretter för att dölja skadepanoramat av snus.
– När cigaretter visade sig vara skadliga hittade man på filter, sen kom lågnikotin-cigaretter.
Industrin ändrar alltså produkten, och praktiker och forskare behöver tid för att utforska konsekvenserna.
– När det gäller snuset säger tobaksindustrin att de har eliminerat de cancerframkallande tobakspecifika nitrosaminerna genom att ändra tillverkningsförfarandet. Nu går man över till nikotinprodukter, som vitt snus med nikotin extraherat från tobak, och det kommer att ta minst 10 år innan vi kan visa skadepanoramat utifrån evidens.
Eftersom det vita snuset lanserades i Sverige 2016 finns det alltså ännu inga bra studier som visar skaderiskerna och eftersom Jan Hirsch numera inte arbetar som kirurg träffar han inte längre patienter. Däremot har han kontakt med tidigare kollegor som gör det och de berättar om unga tjejer – just den grupp där snusningen ökar mest – med kraftiga förändringar som rodnad och avstötning av tandköttet.
– På frågan om vad det är för produkt de använder säger de vitt snus. Det är alltså redovisat av många kollegor att man ser tydliga förändringar i tandköttet hos de som använder vitt snus.
Om de skador de unga tjejerna har är långvariga eller reversibla vet man inte än, inte heller hur de ser ut i mikroskop. Jan Hirsch har därför bett flera av kollegorna samla in prover att använda i forskning.
Skaderiskerna förminskas
Problemet är att när det gäller till exempel cancer behövs forskning under lång tid, längre än 10 år, för att ta reda på riskerna med nya produkter. Cancer som är framkallad av yttre extern påverkan, som toxiska kemikalier, tar lång tid att utveckla och det gäller även snus.
– När får man lungcancer, bröstcancer, malignt melanom? Svaret är att det är vanligast i 60-70årsåldern. De som får cancer av snusning får det där de lagt sitt snus sedan de var i 14 årsåldern. Alltså i samma ålder som många andra cancerformer.
Jag Hirsch säger att skaderiskerna med snus förminskas överlag, och syftar då till det bruna snuset som man forskat på under många år.
– Man uttrycker att man inte vet om man får cancer av snus, men om man tittar på vad WHO skriver, och har skrivit i decennier, så är det helt klarlagt att man kan få det. I IARC-dokumenten (International Agency for Research on Cancer; the cancer agency of the WHO) framgår det tydligt att snus kan ge cancer i munnen. Även svenska studier visar det.
Oklart innehåll i vitt snus
Men vad är det då som gör att snus är skadligt för hälsan? Det är väl känt att cigaretter innehåller tusentals kemikalier, som till exempel tjära, men att snus innehåller mellan 3500 och 4000 kemikalier är mindre känt bland allmänhet och politiker.
– Vi har gjort forskningsförsök på celler och råttor, för att ta reda på vilka kemikalier som står för vad när det gäller hälsorisker.
Men visade sig vara svårt eftersom de inte hade tillgång till alla kemikalier.
– Vid våra studier på råttor, som fick snus i en läppkanal två gånger per dag i 15-18 månader, fick några cancer i munnen plus förändringar i en del övriga organ. Det var då jag själv slutade snusa.
En av kemikalierna i snus vet man dock relativt mycket om, nämligen nikotin.
– Det bildas kemikalier som är cancerframkallande under produktionen och lagringen av snus och när nikotinet kommer in i munnen och blandas med mun- och magbakterier.
De kemikalierna som bildas kallas för tobaksspecifika nitrosaminer.
– Dessa är cancerframkallande, och vitt snus innehåller även det nikotin som är extraherat från tobaksbladet, säger Jan Hirsch.
I Sverige har Läkemedelsverket i Uppsala analyserat innehållet i det bruna snuset. I den analysen såg man att det innehöll mycket tobaksspecifika nitrosaminer. Även i USA, på American Health foundation, gjorde kemister analyser och de såg också höga halter.
Enligt den statliga utredningen om nya nikotinprodukter från 2021[1] är vitt snus en tobaksfri produkt. Men exakt vad som menas med det är oklart. I utredningen står det:
I vanligt snus finns en rad cancerframkallande ämnen som kommer ifrån tobaken, däribland en grupp ämnen som kallas tobaksspecifika nitrosaminer. I vilken utsträckning dessa ämnen förekommer i tobaksfria nikotinprodukter är oklart. Sannolikt har det att göra med hur nikotinet framställs. Men om extraheringsprocessen är tillräckligt väl utvecklad finns anledning att anta att tobaksspecifika nitrosaminer inte förekommer i någon större utsträckning.
– En utvärdering visar att vitt snus innehåller avsevärt lägre nivåer av nitrosaminer och tungmetaller, men det visar också att nikotinhalten ofta är väldigt mycket högre än i tobakssnus. Nikotinhalten varierar kraftigt mellan olika produkter, men förklarar bara en del av styrkan. Snusets pH-värde har också nämligen en stor betydelse för effekten.
Snus vanligt inte bara i Sverige
Att snusets skaderisker är en viktig fråga beror bland annat på att snusandet är så utbrett. Ca 27 procent av den vuxna befolkningen i Sverige snusar. Utöver det har 42 procent av eleverna i årskurs 2 använt snus senaste månaden och 24 procent i grundskolan. Statistiken har pekat kraftigt uppåt de senaste åren.
Snus anses vara en ursvensk produkt, men enligt Jan Hirsch snusar mer än 300 miljoner människor i världen, bara det att man inte kallar det snus överallt. I Sudan kallas det till exempel tombak.
– Där har man mycket muncancer.
I Afghanistan, Pakistan, Ryssland och Iran finns det också olika varianter snus. I USA finns det mer snusare än i Sverige. Även i Indien är snusning mycket vanligt.
– I Indien har de 75 000 fall munhålecancer årligen. Det är den vanligaste cancerformer där.
Jan Hirsch har forskat på det indiska snuset.
– Den här tobaksblandningen som används i Indien ger cancer men utan tobaksblad är den inte cancerframkallande.
Men varför är det då så många fall av munhålecancer i Indien och inte lika många i Sverige? Jan Hirsch förklarar det med att cancer är en multifaktoriell sjukdom. Det betyder att det är många faktorer som bidrar till cancerutveckling.
– Jämfört med Indien har vi en högre levnadsstandard med bättre boende, bra mat och förhållandevis ren luft. Sådana faktorer gör att vi har högre tolerans och motståndskraft mot toxiska ämnen.
Huruvida man utvecklar munhålecancer eller inte handlar också om exponeringstid.
– Har man en kort exponeringstid är prognosen bra, men om man snusat många timmar per dygn i uppemot 50 år så ökar risken för cancer. Det är också skillnader på skador beroende på hur frekvent man snusar. De som är sociala snusare det vill säga mest för sällskaps skull har väldigt små skador och små förändringar. Men de som är tungt nikotinberoende, och har en snus under läppen även när de sover, de har mycket värre skador.
Politikens inställning
I Sverige är frågan om det vita snuset en högaktuell fråga eftersom allt fler unga, även flickor och kvinnor, använder vitt snus. Industrin har alltså nått nya målgrupper med hjälp av det vita snuset.
Att den evidens som finns inte får större effekt inom vård och politik är beklagligt, tycker Jan Hirsch som retar sig på det han kallar ”det typiska svenska förhållningssättet”. Han menar att svenska politiker, och även en del myndigheter, har en avvikande inställning när det gäller riskerna med snus jämfört med vad man har internationellt.
Många länder i EU har reagerat på den nya produkten, som av industrin kallas nikotinpåsar och därför inte klassas som snus i många länder, och det pågår ett aktivt arbete runt om i Europa för att förhindra att unga börjar snusa. Att det inte görs mer för att stoppa den negativa utvecklingen här i Sverige tror Jan Hirsch beror att vi har en mer slapphänt inställning till snus än i många andra delar av världen.
– Det finns en kultur här av att ”värna om sitt snus”. Alla möjliga, från statsminister, finansminister, EU-parlamentariker och förstå-sig-på-are talar i så positiva termer om snus, sänker skatten och hävdar alltid att det inte finns kunskap om skador av snus. Det beror delvis på okunskap, med delvis är det väl så att de tycker att det av någon anledning är bra att marknadsföra snus.
Jan Hirsch har många gånger skrivit till hälsovårdsministrar och andra politiker.
– Men jag får ju aldrig något svar, suckar han.
Som exempel nämner han Elisabeth Svantesson, Sveriges finansminister som sa att hon skulle försvara det svenska snuset till varje pris. Sveriges statsminister har också gjort snusvänliga uttalanden, bland annat i ett inlägg på Instagram där han visade upp en snusdosa och sa att Göteborgs rapé är hans favorit.
– Frågan är varför de visar upp snuset så här. Beror det på okunnighet eller har de bra betalt från tobaksindustrin kan man inte låta bli att undra.
Att han säger så är inte tagit ur luften. Han nämner återigen IARC-dokumenten som visade en lista med ett antal personer som suttit på nyckelpositioner i samhället i olika länder och samtidigt varit avlönade av tobaksindustrin.
– Det finns inget som tyder på att det skulle vara annorlunda idag. Jag känner också till flera kollegor inom min profession som suttit i Swedish Match:s forskningsråd. De är sponsrade och åker till konferenser och säger att man inte får cancer av tobak.
Det finns även risk att tobaksindustrin har ett finger med i spelet när det gäller själva forskningen. Som exempel nämner Jan Hirsch ett forskningsprojekt om vitt snus inom Region Stockholm som skulle sponsras av Swedish Match. Efter att han reagerade starkt är företaget inte längre involverat i forskningen, vilket Jan Hirsch är glad för.
– Det går ju inte att publicera studier som är sponsrade av industrin. Det finns ingen trovärdighet i det.
Åtgärder som har effekt
Med 50 år i backspegeln är Jan Hirsch inte särskilt optimistisk kring utvecklingen när det gäller nikotinbruket i Sverige och världen.
– Jag tycker inte att något har förändrats politiskt sedan jag började. Tobaksindustrin satsar så mycket pengar och har lobbyister anställda i Bryssel. Man kör med budskapet att snus hjälper människor att sluta röka.
Men något måste göras, och än har han inte gett upp hoppet. Allra helst skulle han vilja se ett förbud av snus, men på listan av åtgärder finns även andra förslag:
– Tobaksfri vård till exempel. Vi som jobbar inom vården pratar om god hälsa, och vi behöver också vara goda föredömen.
Ingen prilla i munnen under arbetstid för vårdpersonal alltså om Jan Hirsch får bestämma, och inte heller några snusdosor liggandes på läkarens bord när hen tar emot patienter.
Screening är en annan viktig åtgärd.
– Vi söker jättemycket pengar för cancerforskning. Munhåle- och svalgcancer är tre gånger så vanligt som livmoderhalscancer. Kvinnor kallas på kontroller i treårsintervaller, och vaccineras mot HPV-virus. Men för munhålecancer har man inget som helst förebyggande program. Det jag och min forskningsgrupp jobbar för är just screening. Det är en viktig åtgärd för att kunna upptäcka dem som riskerar att få cancer. Vi vill också följa upp högriskpatienter, för de upptäcks så sent och har så dålig prognos.
Direktiv till tandvården att vara uppmärksamma på förändringar i munnen som kan vara förstadium till cancer behövs.
– Om tandläkare och tandhygienister inte bara undersöker tänderna, utan även munslemhinnan i gommen, under tungan, under läppen, i kinderna och i svalget så kan de ganska lätt se förändringar. Gör man det kan man ta ett enkelt prov med en borste för att se om det finns cellförändringar. Patienter som har förändringar ska man följa upp med jämna mellanrum, hela livet.
En annan viktig åtgärd är att börja utgå från försiktighetsprincipen.
– Eftersom vi har så mycket evidensbaserade fakta om den oförbrända tobakens skadeverkningar, som snus, borde man inte rekommendera de här produkterna som ett alternativ till rökning.
Han menar också att alla de unga tjejer som nu börjar med vitt snus inte har en tanke på att de kommer att bli beroende.
– De tycker bara att det är tufft med en snygg dosa och alla smaker. Troligen är de inte heller medvetna om vilka konsekvenser ett långvarigt snusande kan ha, varnar Jan Hirsch.
Att få problem med sin munhälsa, som tandlossning, är förknippat med mycket lidande, menar han. Detsamma gäller de som drabbas av cancer. Jan Hirsch har opererat många patienter som fått munhålecancer av snus och behandlingen leder ofta till stora defekter.
– De här patienterna blir av med halva käken och det är inte livskvalitet att leva med konsekvenserna av det. Man har svårt att tugga och svälja, man har smärta och man vill inte gärna träffa människor. Det finns ingen vidare glädje med livet efter munhålecancer. Det är förfärligt.
Att allt fler snusar, och att det nya vita snuset innehåller allt större mängder nikotin kan i framtiden ha stora konsekvenser för de individer som drabbas hårdast.
– Vi får följa utvecklingen och se vad tiden utvisar, säger Jan Hirsch.
[1] Hårdare regler för nya nikotinprodukter (SOU 2021:22)
Tackla Tobak i Tandvården
Dags att anmäla sig ( senast 8 april) till Tackla Tobak och Nikotin i Tandvården 2024 – torsdagen 11 april mellan 13.00-15.00.
Välkommen till 2024 års viktigaste eftermiddag.
För: Tandvårdspersonal alla kategorier samt politiker och beslutsfattare inom tandvård, hälsovård och sjukvård.
Konferensen belyser tandvårdens viktiga roll i nikotin- och tobaksfrågan.
Tid: Torsdag 11 april 2024 kl. 13.00-15.30
Plats: Svenska Läkaresällskapet, Klara Östra Kyrkogata 10, Stockholm
Via Länk: Meddela vid anmälan till kansliet, så skickas en länk.
Anmälan: info@ymtkansli.org senast 8 april
Program:
Lena Sjöberg, leg tandläkare, ordförande Tandvård mot Tobak, hälsar välkommen
Sofia Carlsson, universitetslektor, docent, Institutet för Miljömedicin, Karolinska Institutet.
Nikotinets skadeeffekter
Masoumeh Daneshiyane, leg tandläkare, forskare, Folktandvården Stockholm, Karolinska Institutet.
Ny forskning: Hur påverkas munslemhinnan av vitt respektive brunt snus?
Johanna Reuterving Smajic, leg. tandhygienist, ledamot Tandvård mot Tobak:
Nya tobak och nikotinprodukter, från brunt och ute till vitt fräscht och inne
Våra yrkesförbund har ordet.
Chaim Zlotnik, Ordförande Sveriges Tandläkarförbund
Fouzieh Eliassy, Ordförande Sveriges Tandhygienistförening
Birgitta Enmark, leg tandhygienist, vice ordförande Tandvård mot Tobak:
#Lagar för alla barns framtid: Fina filmer finns gratis att visa på varenda klinik och utbildning! Kunskap är bästa vaccinet mot okloka beslut.
Jan Michael Hirsch, Oralkirurgi, professor emeritus, Uppsala universitet
Sammanfattning – vad ser vi? hur går vi vidare?
Avslutning
Rapport från Riksstämman
Tandvård mot Tobaks ordförande Lena Sjöberg har ordet:
Tandvård mot Tobak fick återigen möjlighet att ordna ett seminarium på Odontologisk Riksstämma i Umeå. 2000 entusiastiska och engagerade medarbetare inom tandvården fanns på plats i dagarna tre.
Vårt seminarium lockade 120 besökare, vilket är rekord.
Vi fick höra Linnéa Hedman presentera varför Harm Reduction inte gäller, eller är någon bra idé, när det gäller att ersätta cigaretter med snus resp. e-cigaretter.
Birgitta Enmark beskrev hur man i Folktandvården Gävleborg sprider information via väntrumsskärmar, Facebook, Instagram mm. Goda exempel som vi alla kan ta efter.
På TobaksFakta webbplats finns kampanjsidan #lagarforallabarnsframtid, där det finns mycket material, filmer, annonser, affischer mm att ladda hem utan kostnad. Den egna loggan kan gratis placeras på materialet. För individuell hjälp är alla välkomna att kontakta kansliet, info@ymtkansli.org.
Som avslutning presenterade Johanna Reuterving Smajic det senaste om nya nikotinprodukter. Förfärande sanningar om både vitt snus och e-cigaretter. Barn och unga lockas in i ett ofta högt och kanske livslångt nikotinberoende.
Det finns kanske en och annan inom våra yrkeskårer som fallit för frestelsen att prova vitt snus…? Vårt absoluta råd är förstås att omedelbart försöka sluta, och att inte använda produkten på arbetstid. Vi är förebilder och ska föregå med gott exempel. Det är varken tobaksfritt eller ofarligt.
På Tandläkartorget fick vi många fina pratstunder med kolleger. Tänk så roligt att träffa gamla bekanta.
Nu ser vi fram emot nästa stämma i Göteborg, men först bjuder vi in till vårt eget årliga seminarium Tackla Nikotin och Tobak i Tandvården, 11 april, digitalt 13-15.30, eller på plats på Svenska Läkaresällskapet i Stockholm.